Каждое утро просыпаюсь и расстраиваюсь, глядя на себя в зеркало. Мне всего 26 лет, а нижние веки как у старушек с лавочки, которая под моим подъездом. Я пыталась привести в порядок нижние веки с помощью косметических средств и народных методов, но не преуспела в этом. Подруги - защитницы пластики - рекомендуют обращаться к специалистам. Пока я занимаюсь изучением сайтов о пластике и нахожусь в активном поиске доктора.
За то время, что я провела в углубленном изучении вопросов блефаропластики, поняла, что есть возможность провести пластику нижних век с внешним разрезом и через внутренний доступ, после которого на веке не останется видимого рубца.
Может мне кто-нибудь подсказать, в каком случае можно провести трансконъюнктивальную блефаропластику, а в каком случае нет?
У меня была верхняя и транконъбюктивальная нижняя, так как кожи в избытке снизу не было. Оперировалась у Гварамия, и думаю что даже обычная нижняя была бы не хуже, потому что даже на верхних веках очень аккуратные и малюсенькие рубцы, которые и не видны толком и не мешают!
хочу сказать тем девушкам, которые терзаются сомнениями относительно нижней блефаропластики, что откладывать не стоит, бояться там совершенно нечего. Если бы я раньше знала, что под наркозом просто высплюсь, реабилитация займет неделю и в принципе я через два дня после операции смогу быть на работе, то я бы давно прооперировалась, а не мучилась несколько лет. Блефаропластику делала у Тумакова, в его же тему добавила фото.
в тему хирурга, да? Пойду-ка гляну
поздравляю с успешной пластикой! А почему вы выбрали именно этого хирурга?
Всем доброго дня. Я девчули воспользовалась случаем, что доктор может за одну операцию с одним наркозом выполнить сразу две операции (ринопластику и блефаропластику). Итог за одну операцию я получила молодые глазки и изящный носик.Смогла осуществить свою мечту, подвергалась меньшему воздействию наркоза. Спасибо моему прекрасному доктору Алексанян Тиграну Альбертовичу за превосходный результат. Мечты должны сбываться!
Ну я и своей похвалюсь — нижняя классическая блефаропластика у Егоровой Марии Владимировны в Фрау Клиник.
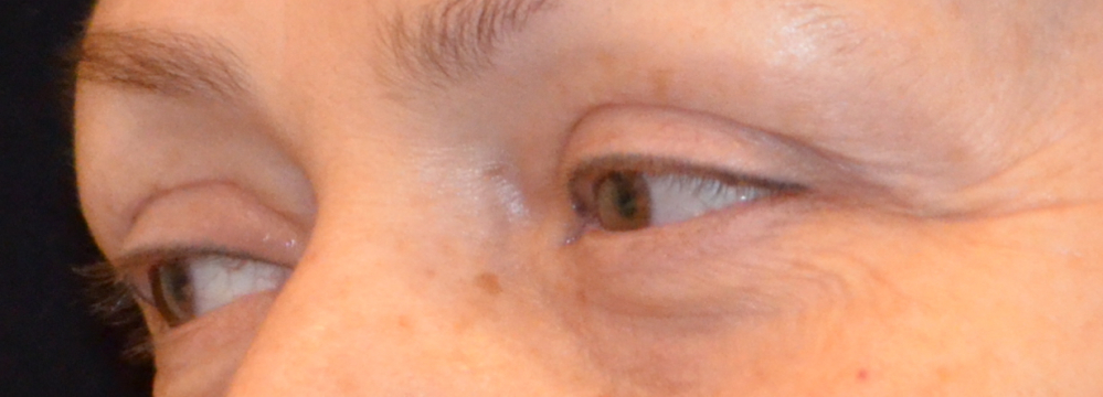
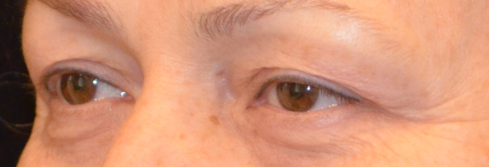
Хоть операция была всего неделю назад, но результаты просто прекрасные по сравнению с тем, что было. Ничего не болит, отеков практически нет, только желтизна от синяков осталась. Это, конечно, немного портит картину, но тем не менее
а ничего не болело во время реабилитации?
а еще фото есть?
Мне нравится ваш новый вид!
вау-вау-вау! Шикардос
Могу посоветовать Виталия Баландина. Я, конечно, не в таком молодом возрасте обращалась за блефаропластикой. Мне было в 2 с лишним раза больше лет. Однако, результат операции, по настоящему, впечатляет.
У меня были очень сильные морщины под глазами — долгое время стеснялась носить очки, постоянно щурилась — вот и результат.
Баландин провел очень аккуратную операцию, убрал излишки кожи, подтянул морщинки, и вуаля, я помолодела лет на 10. Очень довольна работой хирурга.
Росс Андрей Владимирович это врач от бога с золотыми руками. Обратилась к нему и не пожалела. На первой консультации поразил меня своей обаятельностью, а главное профессионализмом. Сделал мне блефаропластику нижних век. Послеоперационный период прошел отлично, благодаря рекомендациям Андрея Владимировича. Очень внимательно и заботливо относиться к каждому пациенту.
Уже довольно давно стала замечать по фотографиям, что взгляд какой-то больной и усталый. В каком бы ракурсе и освещении я не делала фото- я понимала- что-то не то. И даже с сильно накрашенными ресницами положение не улучшается. Хоть какое освещение, а результат один- изображение на фото не радует. Да и в зеркале тоже. А иногда даже сильная ассиметрия. Мной было принято решение сделать блефаропастику. Поскольку на примете уже был хороший врач(Белый Игорь Анатольевич) я отправилась к нему на консультацию.
Сначала я приехала на консультацию и объяснила врачу, что я хочу. Доктор порекомендовал,мне сделать по его авторской методике подтяжку лба и блефароплатику. Результат просто потрясающий. Самое главное найти достойного доктора и все!!!
а сколько стоила ваша операция?
Первый раз в жизни употребляю столько жидкости, сколько хочу, а на утро просыпаюсь, смотрю на себя в зеркало и улыбаюсь, потому что мешков нет! А еще я перестала делать стрелки, потому что глаза и так выглядят чудесно и молодо.
Подтяжку я не делала, была только классическая блефаропластика нижних век и убрали грыжи.
Своего хирурга Игоря Анатольевича Белого я выбирала вначале читая форум, сделала список, обзвонила клиники, узнала цены и те методы которые используют хирурги при операции, записалась на консультации, на консультациях просила показать мне фотографии пациенток, чтобы увидеть результат работы. Задавала волнующие меня вопросы докторам и таким образом, выбрала своего хирурга и не ошиблась. Желаю Вам найти такого доктора, которому Вы сможете доверить свои глазки!
Хотела пластику век, но принять решение делать оп трудно. Всё-таки это лицо и мало ли. Но бесшовные оп Вардана очень нравились. Следила глазом года два, пересматривала все фотки. Решилась! Доктор сразу объяснил, что пластика век — это ничего страшного, сделает мне шикарный кукольный взгляд как у девочки. И это правда! ) Опомниться не успела, как всё уже было сделано. Тяжелые веки пропали — просто магия! Я красотка, молодой взгляд, лицо сильно изменилось. Но это перемена в лучшую сторону. Вардан Хачатрян подарил мне взгляд, от которого в восторге не только я, но и окружающие )))
![]()
Мне очень понравилось, как вы изменились! Реально очень естественно !
Моя подруга делала у Тиграна Альбертовича ринопластику, поэтому когда я рассказала ей о своем намерении сделать блефаро- она мне тут же посоветовала Алексаняна, так как большего универсала и профессионала чем он- в Москве не сыскать по ее словам. Охотно верила и верю и буду верить, потому что ее результат — это нечто невероятное. Шикарный профиль и красивейшей формы носик..что Алексанян круто делает блефаро и еще ряд операций — я узнала уже позже. Честно, это большая удача…к любому другому хирургу — засомневалась бы идти., но не к нему!
На фото 20 дней спустя операции. Шик, блеск и красота!
Спасибо доктору Хачатряну Вардану Робертовичу за то что посоветовал мне сделать круговую блефаропластику. Операция вернула мне молодые годы, красивое, молодое лицо, я забыла про морщины и мешки. Мне стало легче смотреть, ушло напряжение с глаз, стало свободнее как то
Взгляд отдохнувший. Операция продлилась около часа. за этот час изменилась моя жизнь я очень довольна!
Я делала круговую блефаропластику, убирали ещё грыжи. Очень хорошая и результативная операция если есть проблема нависших век. оперировал меня доктор Орландо в клинике Линлайн на Удальцова, хороший доктор, работу свою знает на отлично, в общении очень приятный и грамотно всё объясняет, так что и вопросов не возникает.
у меня было нависание асимметричное, операцию делала у Гущиной А. О., мне очень понравилось, она очень круто делает глазки, посмотрите, и нижнюю и верхнюю. Все равно на мой взгляд в большинстве случаев нужна круговая, получается сразу комплексный классный эффект!
а при асимметрии тоже оба века оперируются?
это индивидуальный вопрос. Но как правило только из-за одной асимметрии не приходят, а значит есть что еще исправить. Или нависание на обоих веках, но с одной стороны больше. Поэтому думаю в большинстве случаев все же оба века затрагивают, во всяком случае видела много таких работ у своего хирурга Валентины Кравцевич, и думаю если такой вопрос в любом случае обсуждается очно)
есть шрамы?
в веке прячется и там аккуратная линия. со временем незаметная! я сделала недавно и, конечно, пока видно! но она очень быстро заживает и светлеет. Хирург Голованов Сергей Юрьевич
а как вам доктор, вы бы посоветовали его? не первый раз вижу фамилию и клиника нравится. какие методики и фишки заметили у него? молодой все-таки, они все с интересом работают
а недавно — это когда? на каком сроке пока еще видны следы? 2 недели пройдет, будет еще заметно или уже нет?