16.09.2007 23:00

От блефаропластики к СМАС

Советую приходить на консультацию с карандашом и листом бумаги!

Людмила Коростылева

Моя блефаропластика и знакомство с Артуром Рыбакиным прошли очень интересно. Меня давно беспокоил отек скул, который портил внешность. Две инъекции дипроспана вызвали страшный отек, который проходил несколько месяцев. Надо было что-то посерьезнее. Наверное, нижнюю блефаропластику и подтяжку височной области. Просмотрела картинки «до и после» и надумала подтянуть и верхнее веко. О хирурге, которого я выбрала, знала мало, но он мне понравился. В этом я ему и призналась, когда лично встретилась на консультации. За это Артур Владимирович выделил мне VIP-палату и 1 день бесплатного пребывания в стационаре!

Ребенок — на даче, муж — в командировке, я — в холле клиники. Напротив меня сел человек, пристально посмотрел на меня и спросил: «Вы меня не знаете?» Я удивилась. Это был анестезиолог. После все закружилось — завертелось. Я уже в операционной, отошла от наркоза, не могу собраться с мыслями.

Целый месяц после операции я не могла без слез взглянуть на свои глаза. Маленькие щелочки. Ни макияж, ни другие ухищрения, к которым я прибегала, мне не помогли. Никакого внутреннего удовлетворения. Меня все так и продолжали окрикивать: «Женщина». А так хотелось услышать приятное «девушка». Все это будет, только немного позже, когда я, разодевшись, пошла в университет дочери.

Блуждаю по коридорам в поисках аудитории. И тут со мной сталкивается молодой человек. Он говорит: «Девушка, а Вы, случайно, не учитесь с моей…» Он не сразу понял, что я не студентка. Мы разговорились и решили отпить чашечку кофе в студенческой столовой. Как выяснилось позже, моя дочь заметила меня рядом с молодым человеком, но, решив не мешать маме, не подошла.

На этом все и закончилось. А я продолжала переживать по поводу неутешительных результатов операции. Даже поплакалась в жилетку отца, циника, бабника, путешественника, делового и энергичного. Посоветовал не отчаиваться и идти на повторную операцию. Ничего сложного. Прислушалась к совету. Начала рассматривать свои глаза и сравнивать их с глазами окружающих, чтоб понять истинную причину своих недовольств. Вот какой вывод я сделала.

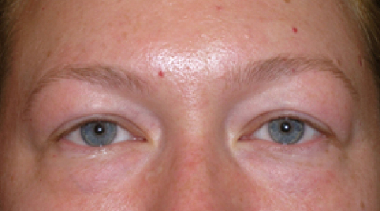
Подтянутые глазницы — это не совсем то, о чем я мечтала. У молодых девушек строение глаз отличается от того, чего можно достичь при помощи блефаропластики. Пластический хирург урезает лишнюю кожу и грыжу и на этом останавливается. В итоге получаются круглые глаза с натянутой кожей. И как можно предсказать результат операции, которая даже не моделируется? Представления хирурга об «идеальном веке» и ваши желания разнятся. Поэтому многие остаются недовольными результатами пластики. Дорогие женщины, прежде чем решиться на блефаро, определитесь со своими желаниями и постарайтесь как можно точнее донести их до хирурга. Не стесняйтесь докучать ему, нарисуйте то, что вы хотите видеть после операции. Хирург не телепат, он не может читать мыслей.

И все же! Рассматривала глазницы разных женщин — звезд, телеведущих. Знаете, что я обнаружила? Красивые глаза подчеркивает подтянутая кожа. Вот где собака зарыта! Теперь я спрашиваю сама себя: «Нужна ли женщине за 30 блефаропластика?» Теперь приведу результаты своих наблюдений и просчетов:

  • если блефаро в 35 лет, то понадобится эндоскопический фейслифтинг
  • если в 45, то СМАС
  • если в 25, то лицо уже подтянуто по природе

Вот я и прогадала с блефаропластикой. Повелась на фотографии Анны Самохиной (актрисы), которые нашла у Артура Рыбакина. Не заметила, что и кожа у нее подтянута! Теперь я знала, что мне нужно: латеральная кантопексия, СМАС средней и нижней зоны лица, платизмопластика. На бумажке нарисовала все для Рыбакина, обозначила красными линиями «проблемные зоны». С этим творчеством Артур Владимирович пришел на операцию.

Несмотря на неплохую свертываемость крови, анестезиолог назначил викасол. Приняла 3 инъекции через день. На 5-ый была запланирована операция, к которой я была готова на все 100% душой и телом. Именно поэтому реабилитационный период прошел без осложнений. К тому же я уже знала, что значить быть после операции. Вот и хожу довольная. Теперь несколько моментов, на которых хочу заострить ваше внимание.

Итак. Блефаропластика без сочетания с подтяжкой лица не даст тех результатов, о которых вы грезите. Натянутые глаза на фоне дряблой обвисшей кожи лица будет смотреться удручающе. Как вести себя на консультации. Ищите у доктора в фотографиях «до и после» женщин с вашим типом лица — форма, размер. Запомните, что при удалении верхних и нижних грыж могут проступить глазницы. Обсудите этот вопрос со своим хирургом. Не путайте понятия: «круглые глаза», «открытый глаз», «кошачьи глаза», «спаниельи глаза».

Приходите на консуьтацию с карандашом и листком бумаги. Обязательно нарисуйте, как можете, то, что вы хотите добиться. Если возникают вопросы, то задавайте их своему хирургу. Он сидит перед вами, чтоб помочь. Порой доктору лучше видна ситуация. Он, так сказать, сторонний наблюдатель. Прислушайтесь к его мнению, но не забывайте о своем. Покажите ему фотографии тех женщин, чья форма и разрез глаз вас полностью устраивают. И никогда не бойтесь. Не сомневайтесь в правильности выбранного пути. Переступили порог клиники — не пятьтесь назад. Вы на правильном пути. Не сбейтесь с него. И всегда надейтесь на Бога, молите его. Это помогает.

Комментарии

  • 0
      16 марта 2012 года в 13:06:50
    RE: От блефаропластики к СМАС

    Огромное спасибо за ваши рекомендации,у меня таже проблема и я мучаюсь уже 3 месяца в подборке врача именно по блефоропластике,оказывается все не так просто и надо делать еще и смас.Если не трудно,поделитесь вы сделали смас,как результат,и если вы довольны у кого и где???Вы единственный человек,кто так четко и популярно все объяснил,огромное спасибо!Буду рада ответу